Clear Correct

 

ClearCorrect invisible braces are the clear and simple way to straighten your teeth so you can show off your smile!

Looking for an alternative to metal braces? ClearCorrect is a clear and simple choice. No wires. No brackets. Just clear, convenient comfort -- every reason to smile.

With ClearCorrect, your dentist or orthodontist can straighten your teeth using a series of clear, custom, removable aligners. Each aligner moves your teeth just a little bit at a time until you eventually get straight teeth.

How does it work?
The process starts with your dentist who takes your impressions, x-rays, and photos, and sends them in with a prescription form. ClearCorrect manufactures your aligners per the precise instructions provided and then sends them back to your dentist.

Once your dentist receives your new ClearCorrect aligners, the process is simple:

  • You wear your first aligner and it moves them a little bit.
  • Then you wear your next aligner and it moves them a little bit more.
  • You continue wearing your aligners under the supervision of your dentist and you eventually get straight teeth.

Is it right for you?

Your lifestyle is important to you and so is your smile. So why should one cost you the other?

With CIearCorrect, it doesn't have to.

CIearCorrect is practically invisible-most people won't even notice you're in treatment. It's comfortable no cuts or scrapes Tike with braces. It's removable-eat what you want, then brush and floss. It's flexible schedule appointments to fit your life. It's affordable-comparable to braces, even less than other treatment options.

What can it do?

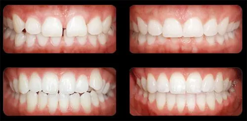
Whether it's minor crowding and spacing or a more severe case of malocclusion and misalignment, CIearCorrect can help you straighten your teeth and achieve your best smile, one aligner at a time. See for yourself what it can do.


Compare ClearCorrect

ClearCorrect provides the benefits of braces without the limitations found in other clear aligner products:

Superior clarity - ClearCorrect is one of the clearest aligner products available.

Excellent hygiene - ClearCorrect is removable so you can brush and floss like normal; plus the smooth surface finish of ClearCorrect aligners won't trap bacteria so you can clean them easily, unlike braces and other aligner products.

Enhanced control - ClearCorrect gives your doctor a level of control during treatment previously only available with braces, ensuring at the end of treatment, you get the straight smile you've always wanted.


The choice is clear.

With the results and convenience CIearCorrect offers and the advantages it has over other treatment options, it's an easy decision. With ClearCorrect you can get the obvious benefits and confidence you'll enjoy with straight teeth so you, too, can show off your smile.

Contact Us

Send Us an Email

Our Location

Find us on the map

Hours of Operation

Our Regular Schedule

Monday:

9:00 am-8:00 pm

Tuesday:

9:00 am-8:00 pm

Wednesday:

10:00 am-7:00 pm

Thursday:

9:00 am-1:00 pm

Friday:

Closed

Saturday:

8:00 am-1:00 pm

Sunday:

Closed